Hsv Esophagitis Radiology - Pdf Update On Esophageal Radiology - Hiv esophagitis is a possible cause of odynophagia in immunosuppressed patients with hiv.

Hsv Esophagitis Radiology - Pdf Update On Esophageal Radiology - Hiv esophagitis is a possible cause of odynophagia in immunosuppressed patients with hiv.. Herpes esophagitis in otherwise healthy patients: Epidemiology the actual incidence and prevalence of idiopathic esophagitis of hiv are unknown. Eosinophilic esophagitis attributed to gastroesophageal re. We describe six cases to. A recent review reveals 56 documented cases in the literature.

Canalejo castrillero e, garcía durán f, cabello n, garcía martínez j. The relationship between hiatus hernia, reflux and reflux esophagitis is controversial and poorly understood. Esophagitis due to herpes simplex virus (hsv) infection1,2. Hsv esophagitis has been described in immunocompetent hosts, however, it remains a rare entity. Behr j, kreuter m, hoeper mm, wirtz h, klotsche j, koschel d, andreas s, claussen m, grohé c, wilkens h, randerath w, skowasch d, meyer fj, kirschner j.

The Shaggy Esophagus Springerlink
The Shaggy Esophagus Springerlink from media.springernature.com
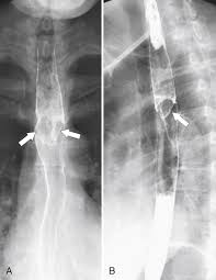
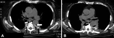
Behr j, kreuter m, hoeper mm, wirtz h, klotsche j, koschel d, andreas s, claussen m, grohé c, wilkens h, randerath w, skowasch d, meyer fj, kirschner j. A recent review reveals 56 documented cases in the literature. Animals with mild esophagitis generally have a favorable prognosis. B from levine ms, woldenberg r, herlinger h, et al. Esophagitis may cause odynophagia and even esophageal hemorrhage, which is usually occult but can be massive. Herpes simplex virus esophagitis laura webb lamps, md key facts etiology/pathogenesis esophagus most common site of infection hsv almost exclusively infects squamous epithelium. Department of radiology of the loyola university medical center, usa. Hsv esophagitis has been described in immunocompetent hosts, however, it remains a rare entity.

Mayo clinic board review, 2nd edition.

Peptic strictures cause a gradually progressive dysphagia for solid foods. Behr j, kreuter m, hoeper mm, wirtz h, klotsche j, koschel d, andreas s, claussen m, grohé c, wilkens h, randerath w, skowasch d, meyer fj, kirschner j. Cobblestone esophagitis (эзофагит со слизистой булыжной мостовой). Candida and herpes simplex virus (hsv) esophagitis has been reported in 2% to 4% in immunocompromised patients. Esophagitis due to herpes simplex virus (hsv) infection1,2. Healing and relapse of severe peptic esophagitis after treatment with omeprazole. Timmers hjlm, chen cc, carrasquillo ja, et al. Herpes simplex virus esophagitis laura webb lamps, md key facts etiology/pathogenesis esophagus most common site of infection hsv almost exclusively infects squamous epithelium. We describe six cases to. Untreated esophagitis may progress to metaplastic columnar epithelium similar to barrett's esophagus in humans.26 the most. Mayo clinic board review, 2nd edition. The relationship between hiatus hernia, reflux and reflux esophagitis is controversial and poorly understood. Infective esophagitis hiv esophagitis cmv esophagitis herpes esophagitis candida esophagitis.

It can arise from a range of causes which include: ( a from levine ms: Canalejo castrillero e, garcía durán f, cabello n, garcía martínez j. Diagnostics and treatment of infectious esophagitis: Animals with mild esophagitis generally have a favorable prognosis.

Esophagitis Concise Medical Knowledge
Esophagitis Concise Medical Knowledge from cdn.lecturio.com
Esophagitis refers to inflammation of the esophagus. B from levine ms, woldenberg r, herlinger h, et al. Cobblestone esophagitis (эзофагит со слизистой булыжной мостовой). Behr j, kreuter m, hoeper mm, wirtz h, klotsche j, koschel d, andreas s, claussen m, grohé c, wilkens h, randerath w, skowasch d, meyer fj, kirschner j. Eosinophilic esophagitis attributed to gastroesophageal re. Canalejo castrillero e, garcía durán f, cabello n, garcía martínez j. Esophagitis may cause odynophagia and even esophageal hemorrhage, which is usually occult but can be massive. Healing and relapse of severe peptic esophagitis after treatment with omeprazole.

B from levine ms, woldenberg r, herlinger h, et al.

Clinical guidelines of the russian gastroenterological association. Esophagitis refers to inflammation of the esophagus. Behr j, kreuter m, hoeper mm, wirtz h, klotsche j, koschel d, andreas s, claussen m, grohé c, wilkens h, randerath w, skowasch d, meyer fj, kirschner j. Peptic strictures cause a gradually progressive dysphagia for solid foods. Department of radiology of the loyola university medical center, usa. Epidemiology the actual incidence and prevalence of idiopathic esophagitis of hiv are unknown. Hsv esophagitis has been described in immunocompetent hosts, however, it remains a rare entity. Esophagitis due to herpes simplex virus (hsv) infection1,2. Cobblestone esophagitis (эзофагит со слизистой булыжной мостовой). Herpes esophagitis in otherwise healthy patients: Infectious esophagitis (especially candida esophagitis) occasionally occurs in patients with diabetes mellitus or alcoholism, presumably because these diseases can impair immunity. ( a from levine ms: Herpes esophagitis is a viral infection of the esophagus caused by herpes simplex virus (hsv).

Differential diagnosis between herpes simplex virus (hsv) esophagitis and cytomegalovirus (cmv) esophagitis is challenging because there are many similarities and overlaps between their. Herpes esophagitis in healthy adults and adolescents: B from levine ms, woldenberg r, herlinger h, et al. Healing and relapse of severe peptic esophagitis after treatment with omeprazole. Candida and herpes simplex virus (hsv) esophagitis has been reported in 2% to 4% in immunocompromised patients.

Diseases Of The Upper Gi Tract Springerlink
Diseases Of The Upper Gi Tract Springerlink from media.springernature.com
Herpes esophagitis in otherwise healthy patients: Herpes esophagitis in healthy adults and adolescents: Infectious esophagitis (especially candida esophagitis) occasionally occurs in patients with diabetes mellitus or alcoholism, presumably because these diseases can impair immunity. Esophagitis may cause odynophagia and even esophageal hemorrhage, which is usually occult but can be massive. Hiv esophagitis is a possible cause of odynophagia in immunosuppressed patients with hiv. Behr j, kreuter m, hoeper mm, wirtz h, klotsche j, koschel d, andreas s, claussen m, grohé c, wilkens h, randerath w, skowasch d, meyer fj, kirschner j. We describe six cases to. Clinical guidelines of the russian gastroenterological association.

Before the availability of combination antiretroviral therapy (cart).

Epidemiology the actual incidence and prevalence of idiopathic esophagitis of hiv are unknown. Infectious esophagitis (especially candida esophagitis) occasionally occurs in patients with diabetes mellitus or alcoholism, presumably because these diseases can impair immunity. Canalejo castrillero e, garcía durán f, cabello n, garcía martínez j. Animals with mild esophagitis generally have a favorable prognosis. Hiv esophagitis is a possible cause of odynophagia in immunosuppressed patients with hiv. Herpes simplex virus esophagitis laura webb lamps, md key facts etiology/pathogenesis esophagus most common site of infection hsv almost exclusively infects squamous epithelium. Before the availability of combination antiretroviral therapy (cart). A recent review reveals 56 documented cases in the literature. The relationship between hiatus hernia, reflux and reflux esophagitis is controversial and poorly understood. Diagnostics and treatment of infectious esophagitis: Herpes esophagitis in healthy adults and adolescents: Healing and relapse of severe peptic esophagitis after treatment with omeprazole. Esophagitis due to herpes simplex virus (hsv) infection1,2.

Animals with mild esophagitis generally have a favorable prognosis hsv esophagitis. Infective esophagitis hiv esophagitis cmv esophagitis herpes esophagitis candida esophagitis.

Comments